SEXTA-FEIRA, 18 DE MAIO DE 2012
Deputado Osmar Baquit se “rebela” contra orientação de líder do governo e rasga documento em plenário

O deputado Heitor Férrer ingressou com um requerimento na Assembleia Legislativa pedindo informações sobre contas que há 12 anos aguardam na fila para julgamento no Tribunal de Contas dos Municípios. A votação do pedido acabou adiada por falta de quórum, mas o assunto gerou muita polêmica. O deputado Osmar Baquit (PSD) questionou a orientação do líder governista, Antonio Carlos (PT), contra o pedido de informação e acabou rasgando o documento em plenário.
O requerimento do deputado Heitor Férrer (PDT) solicitava o envio de processos que há 12 anos aguardam julgamento no Tribunal de Contas dos Municípios.
De acordo com o pedetista, o acesso a análise dos documentos é necessária uma vez que, segundo o parlamentar, alguns gestores que cometeram irregularidades, inclusive com o desvio de verbas públicas, ainda aguardam o julgamento das contas e desta forma tem o direito de se apresentar nas eleições de 2012 com a Ficha Limpa.
Lula lança página no Facebook e grava vídeo para divulgá-la

O ex-presidente Luiz Inácio Lula da Silva lançou na tarde de ontem, quinta-feira sua página no Facebook e, para divulgá-la, gravou um vídeo pedindo que os internautas curtam seu perfil No início da tarde, quase 68 mil pessoas já haviam atendido ao pedido.
Após polêmica com TCE, policiamento do Interior irá receber 125 Hilux

O Governo do Estado conseguiu a liberação do Tribunal de Contas do Estado (TCE) e do Ministério Público do Estado do Ceará para a utilização de 125 picapes Hilux compradas para utilização no patrulhamento da Polícia Militar no Interior.
Segundo informações da Secretaria de Segurança Pública e Defesa Social (SSPDS), os novos carros devem chegar às unidades em 80 dias. Ao todo, o Governo investiu R$ 13,4 milhões na compra das 125 picapes.
Suspeito de assaltar três policiais em menos de 24h é preso
Policiais do Ronda do Quarteirão prenderam, na tarde de ontem, quinta-feira (17), um suspeito de assaltar três policiais, sendo um soldado, um subtenente e um major da Polícia Militar, além de duas pessoas em menos de 24horas. Os assaltos eram cometidos na avenida Costa Oeste, do Projeto Vila do Mar, na Barra do Ceará, em Fortaleza.
De acordo com os policiais, o suspeito faz parte de um trio que começou a agir na tarde de quarta-feira (16) no local. A primeira vítima foi o major da PM que parou na avenida para tirar foto e acabou sendo roubado. Já o subtenente e o soldado, além dos pertences pessoais, tiveram as motocicletas roubadas.
Após as denúncias, Paulo Henrique Muniz, de 20 anos, foi preso na favela Coqueirinha, que fica no mesmo bairro.
Canibal diz que comeu fígado, não coração de vítima

Um vídeo gravado mostra Isabel Cristina da Silva, uma das acusadas de matar, esquartejar e comer ao menos cinco pessoas em Pernambuco, descrevendo como fazia os assassinatos e o preparo de salgadinhos de carne humana.
Isabel revela que eles comeram 10 kg de carne humana entre três e cinco dias. "Bruna faz dieta, mas quando ela come carne como mesmo. Agora, eu já gosto mais de arroz e não como muita carne. Essa carne só durou pouco por causa da Bruna e da menina porque elas gostam muito de carne. A menina não sabia, ela pensava que era carne comum".
"Eu não comi muito a carne porque não sou de comer muito. Eu comi o fígado e alguns pedaços do corpo, mas não comi o coração", diz Izabel.
Isabel é casada com Jorge Beltrão Negromonte da Silveira, 51. O casal vivia com a amante dele, Bruna Cristina Oliveira da Silva, 25.
Os três são suspeitos de matar, esquartejar e comer pedaços dos corpos de pelo menos três mulheres nas cidades de Olinda e Garanhuns.
CANIBALISMO
Uma menina de 5 anos morava com eles. A polícia diz que ela é filha de Jéssica, morta por eles em 2008, em Olinda, quando tinha 17 anos.
Pedaços dos corpos das mulheres assassinadas por membros de uma seita em Garanhuns (234 km de Recife) eram utilizados para rechear salgados vendidos por uma das suspeitas, diz a Polícia Civil.
De acordo com o comissário da Delegacia de Garanhuns, Demócrito de Oliveira, a comerciante ambulante Isabel Cristina Oliveira da Silva, 51, confessou em seu depoimento que fazia e vendia pastéis e empadas nas ruas da cidade com se fossem salgados de carne bovina.
A morte de Jéssica é contada em detalhes no livro "Revelações de um esquizofrênico", escrito por Jorge em 2009 e registrado em cartório em 28 de março deste ano.
No livro, a amante de Jorge, Bruna, aparece com o nome de Jéssica, porque usava a identidade da vítima.
"Ao olhar para o corpo já sem vida da adolescente do mal, sinto um alívio. Pego uma lâmina e começo a retirar toda a sua pele, e logo depois a divido. Eu, Bel e Jéssica nos alimentamos com a carne do mal, como se fosse um ritual de purificação, e o resto eu enterro no nosso quintal", diz um trecho.
Em entrevista à TV Jornal, de Pernambuco, Jorge Negromonte da Silveira, 51, admitiu ter matado as três vítimas, mas se recusou a chamar a atitude de assassinato. "Eu digo que foi missão porque nenhuma folha cai sem a permissão do grande Deus. Todas essas pessoas estão purificadas. Todas estão com Deus e purificadas", disse Silveira, atrás das grades.
Ele disse à TV que as vítimas eram escolhidas por dois seres que ele chamou de arcanjo e querubim. "Nessas duas últimas missões, quem me ajudou foram as duas pessoas, duas crianças ainda, um branco e um negro, que desde cedo estão na minha vida e que passam todas essas informações para mim".
Jorge afirmou não ter religião e disse que comia a carne das vítimas para completar o ritual de purificação.
De acordo com ele, sua mulher, Isabel Cristina Torreão Pires da Silveira, 51, era quem atraía as vítimas. "Ela começava a mostrar filmes bons. No momento, a pessoa ia melhorando. Depois que conversava, a gente via que a hora tava certa pelas quantidades de palavras boas e palavras ruins que ela falava".
O suspeito de matar as mulheres disse não recordar o que usava para esquartejá-las, mas afirmou que não havia tortura. "Ela [a vítima], antes [de ser morta], chorava e falava alguma coisa, e eu dizia: seus pecados estão perdoados".
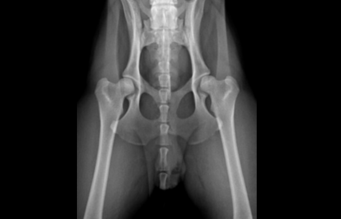
Bandido é preso com 84 pedras de crack enfiadas no traseiro

Não é incomum bandidos aparecerem com coisa enfiadas em lugares indiscretos, como você pode ver aqui.
Entretanto, talvez tenhamos achado um vencedor na categoria "maior número de coisas enfiadas".
O americano Alex Boulet, de 29 anos, foi preso em Rockingham, no Estado da Carolina do Norte.
Um policial havia parado o carro de Alex e notou algo estranho nas calças do cara.
Levaram o rapaz então para tirar um raio X e tomaram o maior susto quando descobriram que ele tinha cerca de 84 pedras de crack embaladas individualmente enfiadas no traseiro.
Depois que ele foi obrigado a "expelir" tudo, tiraram outro raio X e descobriram que ele ainda tinha cerca de 218 capsulas de droga e até um pouco de maconha lá dentro.
Segundo o boletim de ocorrência, o cara foi obrigado a colocar tudo para fora e depois foi parar detido.
Essa habilidade especial vai ser bem útil para ele na cadeia.
Tarifa de energia elétrica cai 3 pontos porcentuais
A Agência Nacional de Energia Elétrica (Aneel) explicou nesta quinta-feira que haverá uma redução média de três pontos porcentuais na tarifa de energia elétrica decorrente da redução do orçamento da Conta de Consumo de Combustível (CCC) deste ano.
A redução vale desde o dia 1º de janeiro, mas será aplicado às tarifas à medida em que elas forem reajustadas.
Projeto Integrar permite abrir empresa pela internet
A partir de junho, será possível abrir uma empresa pela internet. Um piloto do projeto Integrar será implantado no Distrito Federal e em oito estados: Sergipe, Paraná, Rondônia, Roraima, Tocantins, Ceará, Pará e Paraíba. A iniciativa abre caminho para a implantação da Rede Nacional para a Simplificação do Registro e da Legalização de Empresas e Negócios (Redesim) em todo o país.
Consumir três xícaras de café por dia reduz o risco de morte em 10%

O consumo de pelo menos três xícaras de café por dia - mesmo descafeinado - pode reduzir o risco de morte em 10%, segundo um estudo divulgado pelo Instituto Nacional do Câncer (NCI, em inglês) dos Estados Unidos.
A pesquisa, feita com 400 mil homens e mulheres de 50 a 71 anos de idade, descobriu que a relação entre essa bebida e a diminuição do risco de morte aumentou segundo a quantidade de café consumida.
As pessoas que tomaram café tiveram uma probabilidade menor de morrer por doenças cardíacas, respiratórias, problemas cerebrais, lesões, diabetes e infecções, embora não tenha sido observada sua associação com o câncer.
No entanto, os investigadores advertem que não podem assegurar que essas associações significam que tomar café realmente faz as pessoas viverem mais tempo.
A pesquisa também incluiu outros fatores de risco sobre a mortalidade, tais como o tabagismo e o consumo de álcool, e concluiu que as pessoas que tomaram três ou mais xícaras de café por dia tiveram um risco de morte 10% menor com relação às que não tomaram.
Fortaleza se desfaz de oito jogadores para a Série C
Fortaleza começou a reformulação de seu elenco para a disputada da série C. O clube anunciou a rescisão de contrato dos seguintes atletas: Os zagueiros Cris e Renato; os laterais direito Júnior Maranhão e Raul; e o atacante Canga. Destes, a maior surpresa ficou por conta da saída de Canga.
Visto como uma das maiores revelações das categorias de base do clube, Canga jogou o estadual emprestado ao Ferroviário, onde apesar da péssima campanha do clube, marcou 9 gols e foi um dos poucos destaques do time coral.
O Fortaleza também confirmou que o volante Rogério e o meia Bismarck serão emprestados ao Guarany de Sobral e o atacante Reginaldo Júnior, destaque do Tiradentes durante o estadual, foi repassado ao Icasa.
Ceará pronto para estreia na série B
O Ceará estreia na série B do Campeonato Brasileiro nesta sexta-feira (19) às 21h no Estádio Presidente Vargas contra o América-MG, vice campeão mineiro deste ano. A equipe do técnico Paulo César Gusmão terá mudanças em relação ao time que foi bicampeão estadual no último domingo.
Além de perder Felipe Azevedo que se transferiu para o Sport, o treinador alvinegro não terá a sua disposição os atacantes Romário, suspenso e Mota liberado pela diretoria para resolver assuntos pessoais e não participou dos treinamentos durante a semana. Desta forma, a dupla de ataque será formada por Misael e Henrique Dias, que teve seu nome publicado no Boletim Informativo Diário (BID) e está apto a jogar. Tinga, Vitor Hugo e Jardel também estão regularizados.
Outra ausencia no time titular é o zagueiro Thiego, que a exemplo de Romário cumpre suspensão por ter sido expulso no jogo da Copa do Brasil contra o Paraná. Daniel Marques será o substituto. Nas demais posições o Ceará vai entrar em campo com a base bicampeã cearense. Tinga foi testado no lugar de Eusébio, mas vai ficar como opção para o segundo tempo.
Fortaleza confirma regularização do lateral Marinho Donizete

O Fortaleza Esporte Clube anunciou na tarde de ontem quinta-feira (17), a regularização do lateral-esquerdo Marinho Donizete, junto à Confederação Brasileira de Futebol (CBF).
O atleta é um dos reforços do Leão, visando a disputa da Série C, que tem início agendado para o próximo dia 27.
Pesquisa revela que cerca de 64% dos fortalezenses estão endividados
Fortaleza tem 64,1% dos consumidores que nela residem com algum tipo de dívida, seja no cartão de crédito, financiamentos de banco, empréstimos ou nos carnês, segundo a Pesquisa do Perfil de Endividamento do Consumidor de Fortaleza, com dados de abril, divulgada ontem, quinta-feira (17) pelo Instituto de Pesquisa e Desenvolvimento do Comércio (IPDC), entidade ligada à Federação do Comércio do Ceará (Fecomércio-CE).
Mulher entra nua em uma loja pede as horas e vai embora

Uma mulher entrou nua na terça-feira em uma loja em Ballston, no estado de Nova York (EUA). Segundo o jornal "Times Union", a mulher permaneceu poucos minutos no estabelecimento.
Ao sair da loja, ela ainda disse para um funcionário: "Tenha um bom dia".
O gerente Bob Eakin, que não estava no trabalho no momento, contou que a mulher perguntou a dois empregados que horas eram antes de sair.
A mulher foi filmada pelas câmeras de segurança da loja.
Homem se casa com três mulheres para sobreviver à seca

Um homem na Índia foi "obrigado" a se casar pela terceira vez sem se divorciar das outras duas mulheres a fim de sobreviver à seca que atinge a região onde ele vive.
Ramchandra (nome fictício, para proteger a verdadeira identidade), morador de Dengalmal, disse que a primeira esposa ficou muito doente e incapaz de caminhar longas distâncias para conseguir água. Então ele se casou de novo. Só que a segunda esposa se mostrou muito fraca para a tarefa. E o que o indiano de 65 anos fez? Casou-se novamente!
Inicialmente os moradores do vilarejo de Ramchandra vetaram os casórios dele, acreditando que eram apenas para a satisfação sexual do indiano. Mas ele conseguiu convencer a todos de que era por questão humanitária.
"No começo, nós nos opusemos ao terceiro casamento, mas depois percebemos que ele estava certo. A terceira esposa toma conta dos suprimentos de água da família", disse Hussain Shaikh, morador de Dengalmal, segundo o "Times of India".
Quando se casou com Ramchandra, a terceira mulher tinha 60 anos. Dez anos depois, ela ainda dá conta das longas caminhadas para buscar água para ela, para o esposa, para as outras duas mulheres dele, três filhos e três netos do marido.

O deputado Heitor Férrer ingressou com um requerimento na Assembleia Legislativa pedindo informações sobre contas que há 12 anos aguardam na fila para julgamento no Tribunal de Contas dos Municípios. A votação do pedido acabou adiada por falta de quórum, mas o assunto gerou muita polêmica. O deputado Osmar Baquit (PSD) questionou a orientação do líder governista, Antonio Carlos (PT), contra o pedido de informação e acabou rasgando o documento em plenário.
O requerimento do deputado Heitor Férrer (PDT) solicitava o envio de processos que há 12 anos aguardam julgamento no Tribunal de Contas dos Municípios.
De acordo com o pedetista, o acesso a análise dos documentos é necessária uma vez que, segundo o parlamentar, alguns gestores que cometeram irregularidades, inclusive com o desvio de verbas públicas, ainda aguardam o julgamento das contas e desta forma tem o direito de se apresentar nas eleições de 2012 com a Ficha Limpa.
Lula lança página no Facebook e grava vídeo para divulgá-la

O ex-presidente Luiz Inácio Lula da Silva lançou na tarde de ontem, quinta-feira sua página no Facebook e, para divulgá-la, gravou um vídeo pedindo que os internautas curtam seu perfil No início da tarde, quase 68 mil pessoas já haviam atendido ao pedido.
Após polêmica com TCE, policiamento do Interior irá receber 125 Hilux

O Governo do Estado conseguiu a liberação do Tribunal de Contas do Estado (TCE) e do Ministério Público do Estado do Ceará para a utilização de 125 picapes Hilux compradas para utilização no patrulhamento da Polícia Militar no Interior.
Segundo informações da Secretaria de Segurança Pública e Defesa Social (SSPDS), os novos carros devem chegar às unidades em 80 dias. Ao todo, o Governo investiu R$ 13,4 milhões na compra das 125 picapes.
Suspeito de assaltar três policiais em menos de 24h é preso
Policiais do Ronda do Quarteirão prenderam, na tarde de ontem, quinta-feira (17), um suspeito de assaltar três policiais, sendo um soldado, um subtenente e um major da Polícia Militar, além de duas pessoas em menos de 24horas. Os assaltos eram cometidos na avenida Costa Oeste, do Projeto Vila do Mar, na Barra do Ceará, em Fortaleza.
De acordo com os policiais, o suspeito faz parte de um trio que começou a agir na tarde de quarta-feira (16) no local. A primeira vítima foi o major da PM que parou na avenida para tirar foto e acabou sendo roubado. Já o subtenente e o soldado, além dos pertences pessoais, tiveram as motocicletas roubadas.
Após as denúncias, Paulo Henrique Muniz, de 20 anos, foi preso na favela Coqueirinha, que fica no mesmo bairro.
Canibal diz que comeu fígado, não coração de vítima

Um vídeo gravado mostra Isabel Cristina da Silva, uma das acusadas de matar, esquartejar e comer ao menos cinco pessoas em Pernambuco, descrevendo como fazia os assassinatos e o preparo de salgadinhos de carne humana.
Isabel revela que eles comeram 10 kg de carne humana entre três e cinco dias. "Bruna faz dieta, mas quando ela come carne como mesmo. Agora, eu já gosto mais de arroz e não como muita carne. Essa carne só durou pouco por causa da Bruna e da menina porque elas gostam muito de carne. A menina não sabia, ela pensava que era carne comum".
"Eu não comi muito a carne porque não sou de comer muito. Eu comi o fígado e alguns pedaços do corpo, mas não comi o coração", diz Izabel.
Isabel é casada com Jorge Beltrão Negromonte da Silveira, 51. O casal vivia com a amante dele, Bruna Cristina Oliveira da Silva, 25.
Os três são suspeitos de matar, esquartejar e comer pedaços dos corpos de pelo menos três mulheres nas cidades de Olinda e Garanhuns.
CANIBALISMO
Uma menina de 5 anos morava com eles. A polícia diz que ela é filha de Jéssica, morta por eles em 2008, em Olinda, quando tinha 17 anos.
Pedaços dos corpos das mulheres assassinadas por membros de uma seita em Garanhuns (234 km de Recife) eram utilizados para rechear salgados vendidos por uma das suspeitas, diz a Polícia Civil.
De acordo com o comissário da Delegacia de Garanhuns, Demócrito de Oliveira, a comerciante ambulante Isabel Cristina Oliveira da Silva, 51, confessou em seu depoimento que fazia e vendia pastéis e empadas nas ruas da cidade com se fossem salgados de carne bovina.
A morte de Jéssica é contada em detalhes no livro "Revelações de um esquizofrênico", escrito por Jorge em 2009 e registrado em cartório em 28 de março deste ano.
No livro, a amante de Jorge, Bruna, aparece com o nome de Jéssica, porque usava a identidade da vítima.
"Ao olhar para o corpo já sem vida da adolescente do mal, sinto um alívio. Pego uma lâmina e começo a retirar toda a sua pele, e logo depois a divido. Eu, Bel e Jéssica nos alimentamos com a carne do mal, como se fosse um ritual de purificação, e o resto eu enterro no nosso quintal", diz um trecho.
Em entrevista à TV Jornal, de Pernambuco, Jorge Negromonte da Silveira, 51, admitiu ter matado as três vítimas, mas se recusou a chamar a atitude de assassinato. "Eu digo que foi missão porque nenhuma folha cai sem a permissão do grande Deus. Todas essas pessoas estão purificadas. Todas estão com Deus e purificadas", disse Silveira, atrás das grades.
Ele disse à TV que as vítimas eram escolhidas por dois seres que ele chamou de arcanjo e querubim. "Nessas duas últimas missões, quem me ajudou foram as duas pessoas, duas crianças ainda, um branco e um negro, que desde cedo estão na minha vida e que passam todas essas informações para mim".
Jorge afirmou não ter religião e disse que comia a carne das vítimas para completar o ritual de purificação.
De acordo com ele, sua mulher, Isabel Cristina Torreão Pires da Silveira, 51, era quem atraía as vítimas. "Ela começava a mostrar filmes bons. No momento, a pessoa ia melhorando. Depois que conversava, a gente via que a hora tava certa pelas quantidades de palavras boas e palavras ruins que ela falava".
O suspeito de matar as mulheres disse não recordar o que usava para esquartejá-las, mas afirmou que não havia tortura. "Ela [a vítima], antes [de ser morta], chorava e falava alguma coisa, e eu dizia: seus pecados estão perdoados".
Bandido é preso com 84 pedras de crack enfiadas no traseiro

Não é incomum bandidos aparecerem com coisa enfiadas em lugares indiscretos, como você pode ver aqui.
Entretanto, talvez tenhamos achado um vencedor na categoria "maior número de coisas enfiadas".
O americano Alex Boulet, de 29 anos, foi preso em Rockingham, no Estado da Carolina do Norte.
Um policial havia parado o carro de Alex e notou algo estranho nas calças do cara.
Levaram o rapaz então para tirar um raio X e tomaram o maior susto quando descobriram que ele tinha cerca de 84 pedras de crack embaladas individualmente enfiadas no traseiro.
Depois que ele foi obrigado a "expelir" tudo, tiraram outro raio X e descobriram que ele ainda tinha cerca de 218 capsulas de droga e até um pouco de maconha lá dentro.
Segundo o boletim de ocorrência, o cara foi obrigado a colocar tudo para fora e depois foi parar detido.
Essa habilidade especial vai ser bem útil para ele na cadeia.
Tarifa de energia elétrica cai 3 pontos porcentuais
A Agência Nacional de Energia Elétrica (Aneel) explicou nesta quinta-feira que haverá uma redução média de três pontos porcentuais na tarifa de energia elétrica decorrente da redução do orçamento da Conta de Consumo de Combustível (CCC) deste ano.
A redução vale desde o dia 1º de janeiro, mas será aplicado às tarifas à medida em que elas forem reajustadas.
Projeto Integrar permite abrir empresa pela internet
A partir de junho, será possível abrir uma empresa pela internet. Um piloto do projeto Integrar será implantado no Distrito Federal e em oito estados: Sergipe, Paraná, Rondônia, Roraima, Tocantins, Ceará, Pará e Paraíba. A iniciativa abre caminho para a implantação da Rede Nacional para a Simplificação do Registro e da Legalização de Empresas e Negócios (Redesim) em todo o país.
Consumir três xícaras de café por dia reduz o risco de morte em 10%

O consumo de pelo menos três xícaras de café por dia - mesmo descafeinado - pode reduzir o risco de morte em 10%, segundo um estudo divulgado pelo Instituto Nacional do Câncer (NCI, em inglês) dos Estados Unidos.
A pesquisa, feita com 400 mil homens e mulheres de 50 a 71 anos de idade, descobriu que a relação entre essa bebida e a diminuição do risco de morte aumentou segundo a quantidade de café consumida.
As pessoas que tomaram café tiveram uma probabilidade menor de morrer por doenças cardíacas, respiratórias, problemas cerebrais, lesões, diabetes e infecções, embora não tenha sido observada sua associação com o câncer.
No entanto, os investigadores advertem que não podem assegurar que essas associações significam que tomar café realmente faz as pessoas viverem mais tempo.
A pesquisa também incluiu outros fatores de risco sobre a mortalidade, tais como o tabagismo e o consumo de álcool, e concluiu que as pessoas que tomaram três ou mais xícaras de café por dia tiveram um risco de morte 10% menor com relação às que não tomaram.
Fortaleza se desfaz de oito jogadores para a Série C
Fortaleza começou a reformulação de seu elenco para a disputada da série C. O clube anunciou a rescisão de contrato dos seguintes atletas: Os zagueiros Cris e Renato; os laterais direito Júnior Maranhão e Raul; e o atacante Canga. Destes, a maior surpresa ficou por conta da saída de Canga.
Visto como uma das maiores revelações das categorias de base do clube, Canga jogou o estadual emprestado ao Ferroviário, onde apesar da péssima campanha do clube, marcou 9 gols e foi um dos poucos destaques do time coral.
O Fortaleza também confirmou que o volante Rogério e o meia Bismarck serão emprestados ao Guarany de Sobral e o atacante Reginaldo Júnior, destaque do Tiradentes durante o estadual, foi repassado ao Icasa.
Ceará pronto para estreia na série B
O Ceará estreia na série B do Campeonato Brasileiro nesta sexta-feira (19) às 21h no Estádio Presidente Vargas contra o América-MG, vice campeão mineiro deste ano. A equipe do técnico Paulo César Gusmão terá mudanças em relação ao time que foi bicampeão estadual no último domingo.
Além de perder Felipe Azevedo que se transferiu para o Sport, o treinador alvinegro não terá a sua disposição os atacantes Romário, suspenso e Mota liberado pela diretoria para resolver assuntos pessoais e não participou dos treinamentos durante a semana. Desta forma, a dupla de ataque será formada por Misael e Henrique Dias, que teve seu nome publicado no Boletim Informativo Diário (BID) e está apto a jogar. Tinga, Vitor Hugo e Jardel também estão regularizados.
Outra ausencia no time titular é o zagueiro Thiego, que a exemplo de Romário cumpre suspensão por ter sido expulso no jogo da Copa do Brasil contra o Paraná. Daniel Marques será o substituto. Nas demais posições o Ceará vai entrar em campo com a base bicampeã cearense. Tinga foi testado no lugar de Eusébio, mas vai ficar como opção para o segundo tempo.
Fortaleza confirma regularização do lateral Marinho Donizete

O Fortaleza Esporte Clube anunciou na tarde de ontem quinta-feira (17), a regularização do lateral-esquerdo Marinho Donizete, junto à Confederação Brasileira de Futebol (CBF).
O atleta é um dos reforços do Leão, visando a disputa da Série C, que tem início agendado para o próximo dia 27.
Pesquisa revela que cerca de 64% dos fortalezenses estão endividados
Fortaleza tem 64,1% dos consumidores que nela residem com algum tipo de dívida, seja no cartão de crédito, financiamentos de banco, empréstimos ou nos carnês, segundo a Pesquisa do Perfil de Endividamento do Consumidor de Fortaleza, com dados de abril, divulgada ontem, quinta-feira (17) pelo Instituto de Pesquisa e Desenvolvimento do Comércio (IPDC), entidade ligada à Federação do Comércio do Ceará (Fecomércio-CE).
Mulher entra nua em uma loja pede as horas e vai embora

Uma mulher entrou nua na terça-feira em uma loja em Ballston, no estado de Nova York (EUA). Segundo o jornal "Times Union", a mulher permaneceu poucos minutos no estabelecimento.
Ao sair da loja, ela ainda disse para um funcionário: "Tenha um bom dia".
O gerente Bob Eakin, que não estava no trabalho no momento, contou que a mulher perguntou a dois empregados que horas eram antes de sair.
A mulher foi filmada pelas câmeras de segurança da loja.
Homem se casa com três mulheres para sobreviver à seca

Um homem na Índia foi "obrigado" a se casar pela terceira vez sem se divorciar das outras duas mulheres a fim de sobreviver à seca que atinge a região onde ele vive.
Ramchandra (nome fictício, para proteger a verdadeira identidade), morador de Dengalmal, disse que a primeira esposa ficou muito doente e incapaz de caminhar longas distâncias para conseguir água. Então ele se casou de novo. Só que a segunda esposa se mostrou muito fraca para a tarefa. E o que o indiano de 65 anos fez? Casou-se novamente!
Inicialmente os moradores do vilarejo de Ramchandra vetaram os casórios dele, acreditando que eram apenas para a satisfação sexual do indiano. Mas ele conseguiu convencer a todos de que era por questão humanitária.
"No começo, nós nos opusemos ao terceiro casamento, mas depois percebemos que ele estava certo. A terceira esposa toma conta dos suprimentos de água da família", disse Hussain Shaikh, morador de Dengalmal, segundo o "Times of India".
Quando se casou com Ramchandra, a terceira mulher tinha 60 anos. Dez anos depois, ela ainda dá conta das longas caminhadas para buscar água para ela, para o esposa, para as outras duas mulheres dele, três filhos e três netos do marido.
FONTE:
Nenhum comentário:
Postar um comentário
Deixe o seu comentário aqui! A sua opinião é muito importante para nós!
Mas lembre-se: Gentileza Gera Gentileza!!
Serão excluídos, sem aviso prévio, as ofensas e os comentários que contrariem as leis e a boa moral.